Granthaalayah

NEPHROPROTECTIVE EFFECT OF ACACIA SENEGAL (GUM ARABIC) AGAINST GENTAMICIN INDUCED NEPHROTOXICITY IN RATS

 

Hala E. Ahmed 1, Tarig. A. H. Bilal 2, Sara A. Mohamed 1, Samia H. Abdlrahman 1, Fahad E.B. Elghazali 1, and Samia M. Elbadwi 3

 

1 Central Veterinary Research Laboratory, P. O. Box 8067 (Alamarat), Khartoum, Sudan

2 College of Dentistry, King Faisal University, Saudi Arabia

3 Faculty of Veterinary Medicine, University of Khartoum, , Khartoum, Sudan

 

 

 

A picture containing logo

Description automatically generated

 

 

 

 

 

 

 

 

 

 

 

 

Received 05 February 2022

Accepted 08 March 2022

Published 31 March 2022

Corresponding Author

Hala E. Ahmed, Hala.elr@gmail.com

DOI 10.29121/granthaalayah.v10.i3.2022.4516  

Funding: This research received no specific grant from any funding agency in the public, commercial, or not-for-profit sectors.

Copyright: © 2022 The Author(s). This is an open access article distributed under the terms of the Creative Commons Attribution License, which permits unrestricted use, distribution, and reproduction in any medium, provided the original author and source are credited.

 

 

 


 

ABSTRACT

 

Objective: To explore the effects of Gum Arabic (Acacia Senegal) aqueous extract in contradiction of gentamicin induced nephrotoxicity in Wistar albino rats.

Materials and Methods: Forty rats were randomly separated into 4 groups (n=10). Group A (negative control) received standard diet and water while group B (positive control) received gentamicin 80 mg/kg b. wt. /day via intra peritoneal (IP) route for six days. Groups C and D received Gum Arabic extract at 250 and 500 mg/kg b. wt. via oral route respectively for 10 days and concurrently with gentamicin 80 mg/kg b. wt. IP from day 5 for six days. The nephroprotective activity of Gum Arabic extract was evaluated by measuring the serum and urine biochemical parameters (creatinine, urea, total protein, albumin, sodium and potassium) and examining the histopathological sections of kidney specimen. The serum and urine data were subjected to analysis of variance (ANOVA). Results: In both serum and urine, the biochemical parameters in groups C and D were significantly improved compared to group B. The histopathological analysis of kidneys showed slight necrosis of glomeruli and tubules in group C compared to group B, while group D showed only hemorrhage and congestion in the glomeruli.

Conclusion: These findings suggest that, Gum Arabic extract may possess a nephroprotective activity.

 

Keywords: Gentamicin, Nephrotoxicity, Acacia Senegal, Gum Arabic

 

1. INTRODUCTION

        Nephrotoxicity is one of the most frequent kidney issues, that arises when body is exposed to a drug or toxin (Atef et al. (2015)). A numeral therapeutic mediator can harmfully distress the kidney and subsequently lead to acute renal failure, chronic interstitial nephritis and nephritic syndrome, as there is a collective number of forceful therapeutic drugs like aminoglycoside antibiotics, NSAID’s. lately, additional chemotherapeutic agents have been enumerated into the therapeutic acting drugs.   (Akram et al. (2019)). Revelation to chemical substances like ethylene glycol, carbon tetrachloride, sodium oxalate and heavy metals such as lead, mercury, cadmium and arsenic, similarly persuades nephrotoxicity (Balali-Mood et al. (2021)). Speedy appreciation of the ailment and termination of accountable drugs, are generally the first essential therapy. Nephroprotective mediators are the materials, which own defensive activity in contradiction of Nephrotoxicity. Medicinal plants have restorative

 

 


chattels due to the existence of numerous composite chemical ingredients. Initial literatures have prearranged many herbs for the therapy of renal complaints (http://farmacists.blogspot.com). Co-administration of several medicinal plants having nephroprotective activity laterally with diverse nephrotoxic agents which may weaken its toxicity

The term renal failure principally signifies failure of the excretory role of kidney, leading to retaining of the nitrogenous waste products of metabolism in the blood Sivanandham (2015), furthermore, there is a failure of regulation of fluid and electrolyte balance alongside endocrine dysfunction. The renal failure is basically assorted into acute and chronic renal failure Chertow et al. (2019).

Acute renal failure (ARF), indicates the unexpected and regularly revocable loss of renal function that progresses over a period of days or weeks. There are several reasons behind the incidence of acute renal failure which primarily consist of, acute tubular necrosis that regularly represent 85% of the recorded cases. Typically, acute tubular necrosis arises either due to ischemia or toxins. The toxins may originate from exterior cause (exogenous) or inside source (endogenous). The exogenous agents are divergence mediators, such as, cyclosporine, antibiotics, chemotherapeutic agents, organic solvents, acetaminophen and prohibited abortifacients, Chertow et al. (2019). Chronic renal failure (CRF) is a permanent fall in the renal function which naturally progresses over a period of years, instigating loss of excretory metabolic and endocrine functions. Numerous origins of renal failure have been documented like hypertension, diabetes mellitus, anti-neoplastic agents like cyclophosphamide, vincristin and cisplatin etc. Sivanandham (2015).

Aminoglycoside antibiotics have been extensively used for gram-negative bacterial infections. Though, their nephrotoxicity and ototoxicity are the key confines in clinical practice. Amongst some aminoglycoside antibiotics, the score of nephrotoxicity has been described to be in the subsequent order as, neomycin > gentamicin > tobramycin McWilliam (2015). Gentamycin Nephrotoxicity happens in about 15-30% of treated subjects, is demonstrated clinically as non-oliguric renal failure, with a slow escalation in serum creatinine and hyperosmolar urinary yield evolving after several days of treatment Abdel-Zaher et al. (2008). Gentamicin is filtered through glomeruli into tubular urine, that binds with anionic phospholipids, such as phosphatidylinositol or phosphatidylserine, in brush border membrane of proximal tubular cells reabsorbed actively via pinocytosis process into tubular cells, reserved up by lysosomes and afterward produces phospholipidosis, McWilliam (2015). The drug passes into the cells by adsorptive/receptor mediated endocytosis after binding to acidic phospholipids and megalin and is located essentially in lysosomes. Animals treated with low, therapeutically pertinent doses of aminoglycosides show both lysosomal phospholipidosis and apoptosis in proximal tubular cells Randjelovic et al. (2017).

The goal of this study, is to explore the properties of Gum Arabic aqueous extract against gentamicin induced nephrotoxicity in Wistar albino rats.

 

2. MATERIALS AND METHODS

Animals

Forty grown Wistar albino rats of either sexes weighing (100–120 g) were attained from the experimental animal residence at the Central Veterinary Research Laboratory (CVRL) and from the Faculty of Pharmacy (University of Khartoum). The rats were kept at the experimental animal house at the Faculty of Pharmacy (University of Khartoum), isolated and observed for 7 days before the experiment. All animals reserved in aluminum laboratory cages, fed the standard pellet feedstuff and fresh water ad libitum.

 

Preparation of Gum Arabic extract

The Gum Arabic was gotten from Elobied (North Kordofan State, Sudan) as fine powder. Extraction of plant material was achieved using water according to the method described by Sukhdev et al. (2008). Briefly, eighty grams of Gum Arabic was macerated in 500 ml hot distilled water, left till cooled down with unceasing stirring at room temperature, filtered, deep-frozen and then freeze-dried previously to calculating the yield percentage.

 

Assessment of nephroprotective activity against gentamicin-induced nephrotoxicity

Gentamicin (80 mg/kg) was inoculated by intra peritoneal (IP) route concurrently with Gum Arabic extract which administered orally. Blood samples from ocular vein were collected under light diethyl ether anesthesia into a sterile plain vacutainer tube at day 0 and day 10. Serum was separated from blood by centrifugation for 15 minutes at 3000 rpm and stored at −20º C until tested for renal function. Urine samples were collected by mean of metabolic cages in day 0 and 10 in sterile container. Biochemical profile determined using BIOSYSTEM BTS-350 Apparatus.

 

Histopathological study

Kidney specimens were handled in the Department of Pathology (Faculty of Veterinary Medicine, University of Khartoum) and the slides were examined under microscope in the Department of pathology (CVRL). Kidney tissue samples perceived in 10% formaldehyde for two days then placed into automatic tissue processor (Histos5, rapid microwave processor, Milestone-USA) and monitored for 12 hours. The samples were blocked with molten paraffin at 56-58 0C and those paraffin blocks froze at -10 C in a refrigerator. After 4-5μ thick sections were sliced the paraffin blocks were stained with hematoxylin eosin. The stained sections were inspected under a light microscope.

 

Experimental design

The forty rats were alienated into four groups, each of ten rats. Group A (negative control) did not receive neither gentamycin nor aqueous extract of Gum Arabic. Group B (positive control) received gentamicin (80 mg/kg b. wt) IP for initiation of nephrotoxicity (6 days). Group C parallelly received, the aqueous extract of Gum Arabic (250 mg/kg b. wt) orally for 10 day and gentamicin (80 mg/kg b. wt) for 6 days. Group D concomitantly received the aqueous extract of Gum Arabic (500 mg/kg) orally for 10 days with gentamicin (80 mg/kg b.wt) IP for 6 days.

 

Statistical analysis

Analysis of Variance (ANOVA) was used to analyses the data using SPSS software (IBM, Version 16). A probability of p<0.05 was considered as significant. All results were expressed as mean ± standard error of means SE.

 

3. RESULTS

Biochemical parameters in sera samples

The biochemical parameters in sera samples are expressed in Table 1. The creatinine showed significant (P˂ 0.05) rise in group B compared to groups A, C and D, concurrently, nonsignificant variation observed between groups C and D. The urea exposed significant elevation in group B compared to groups A, C and D, whereas nonsignificant variance between groups A, C and D was documented. The total protein displayed significant reduction in group B compared to group A. A significant increase in groups C and D compared to group B was noted, while the difference between groups C and D was nonsignificant. The albumin showed significant decrease in group B compared to groups A, C and D. whereas the difference between groups A, C and D was not pronounced. The sodium showed remarkable increase in group B compared to groups A, C and D. A significant reduction of sodium concentration distinguished in groups C and D compared to group B. A substantial decrease in group D compared to group C, was observed. Serum potassium levels, showed important decrease in groups B, C and D compared to group A, and nonsignificant variance between groups B, C and D was recognized.

Table 1 The effect of Gum Arabic aqueous extract administered for 10 days on biochemical parameters in sera samples

Group

Creatinine (mg/dl)

Urea (mg/dl)

Total protein (g/dl)

Albumin (g/dl)

Sodium (mmol/l)

Potassium (mmol/l)

D0

D10

D0

D10

D0

D10

D0

D10

D0

D10

D0

D10

 

A

0.31± 0.03a

0.34± 0.03a

40.33± 1.68a

47.88± 0.27a

5.46± 0.24a

5.69± 0.15b

2.88± 0.10c

2.90± 0.01b

81.38± 3.33a

85.00± 3.14a

3.58± 0.26b

3.86± 0.15b

 

B

0.32± 0.04a

3.71± 0.41b

38.70± 1.23a

59.70± 2.38b

6.14± 0.21a

4.90± 0.10a

2.69± 0.12bc

2.41± 0.05a

76.56± 3.11a

102.50 ± 2.20b

3.12± 0.10ab

2.25± 0.20a

 

C

0.29 ± 0.02a

1.24 ± 0.26a

38.38± 1.63a

53.01 ± 3.73ab

5.81± 0.91a

5.56 ±0.05 ab

2.51 ± 0.17ab

2.80 ± 0.06b

73.15 ± 5.58a

94.72 ± 9.77a

2.43 ± 0.19a

2.38± 0.26a

 

D

0.30 ± 0.03a

1.14 ± 0.19a

40.37± 1.58a

51.71 ± 3.92ab

5.49± 0.31a

5.56 ± 0.16 ab

2.32 ± 0.14a

2.89 ± 0.09b

72.1± 3.91a

90.38± 8.99a

3.21± 0.16b

2.50± 0.24a

 

Data are means ± SE. A = Negative control; B = Positive control (Gentamicin 80mg/kg b. wt); C = Gum Arabic 250 mg/kg b. wt. + Gentamicin 80 mg/kg b. wt; D = Gum Arabic 500 mg/kg b. wt+Gentamicin 80 mg/kg b.wt.

 

Biochemical parameters in urine samples

The biochemical parameters in urine samples are expressed in Table 2. The creatinine levels, showed significant (P˂ 0.05) increase in groups B and C compared to group A. Meanwhile nonsignificant difference between groups A and D was noted. Urea concentrations, revealed significant rise in group B compared to groups A, C and D. Nonsignificant difference between groups A, C and D. The sodium displayed significant decrease in group B compared to groups A, C and D, while the difference was nonsignificant between groups A, C and D. The potassium showed significant reduction in groups B, C and D compared to group A, whereas, significant increase in groups C and D compared to group B was observed. A nonsignificant different level of potassium between groups C and D was obtained.

 

Table 2 The effect of Gum Arabic aqueous extract administered for 10 days on biochemical parameters in urine samples

Group

Creatinine (mg/dl)

Urea (mg/dl)

Sodium (mmol/l)

Potassium (mmol/l)

D0

D10

D0

D10

D0

D10

D0

D10

A

65.20±

12.60a

67.41± 11.30a

920± 23.09a

918± 0.03a

113.77± 5.05a

106.80± 17.18b

27.50± 0.62a

29.29±

2.06b

B

73.90± 0.003a

91.26± 7.51b

846± 6.58a

1219± 36.49b

113.75± 5.05a

52.50± 10.10a

29.64± 0.62b

11.79±

0.62a

 C

82.60± 0.12a

88.90± 16.20a

875± 68.52a

951± 173.0a

108.50± 14.14a

103.25± 22.80b

30.36± 1.03b

20.36±

2.27b

D

65.22± 0.20a

69.38± 0.19a

927± 140.50a

941± 87.33a

101.5± 2.02a

94.83± 6.07b

22.50± 0.62a

20.72±

3.71b

 

Data are means ± SE. Means in the same row followed by the same letters are not significantly different at (p ≤ 0.05). A = Negative control; B = Positive control (Gentamicin 80 mg/kg b. wt); C = Gum Arabic 250 mg/kg b. wt. + Gentamicin 80 mg/kg b. wt.; D = Gum Arabic 500 mg/kg b. wt. + Gentamicin 80 mg/kg b. wt.

 

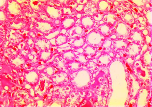
Histopathological changes in kidney

The kidney of group B rats exhibited immense necrosis of cortical tubules and glomeruli with hemorrhage Figure 1. The kidney of group C rats exposed mild necrosis of glomeruli and tubules Figure 2. The kidney of group D rats showed hemorrhage and congestion in the glomeruli Figure 3.

photo 51 kid E gum 250

Figure 1 Section of kidney of group B rats.

 

 

 

Figure 2 Section of kidney of group C rats

 

Figure 3 Section of kidney of group D rats

 

4. DISCUSSION

In this model of acute renal failure induced by gentamycin; rats given Gum Arabic showed values near the normal in creatinine and sodium while they are increased significantly in sera of the intoxicated rats. No significant difference in serum total protein, urea and potassium. Analogous findings were obtained by; El Tahir et al. (2016) and Ali et al. (2013) using the acute renal failure model. The administration of Gum Arabic aqueous extract­ followed by gentamicin improved the activity of albumin towards the normal values in extract treated groups while it was reduced significantly in the group given only gentamicin. In urine there was a significant elevation in urea and creatinine levels in gentamicin group whereas there was a significant reduction in urea and creatinine levels in the treated group which given Gum Arabic at 250 and 500 mg/kg.

 Mahmoud et al. (2012), studied Gum Arabic on acute and chronic renal failure and they found that Gum Arabic owns anti-inflammatory possessions that seem to ameliorate the renal injury caused by gentamicin. They found Gum Arabic attenuated C - reactive protein levels and increased renal superoxide dismutase activity.

 The current study, oral administration of Gum Arabic to rats with renal toxicity induced by gentamicin, showed a marked decrease in level of creatinine. In another study Gum Arabic was found to attenuate renal dysfunction in adenine induced chronic renal failure Ali et al. (2010).

El Tahir et al. (2016); found in a model of acute renal failure induced by gentamicin that Gum Arabic produced mild reduction in urea and creatinine serum levels. This reduction was statistically significant for urea but not for creatinine.

There are many suggestions that explain how dietary fibers such as Gum Arabic declines serum urea nitrogen. It has been declared that colonic bacteria ferment dietary fibers to deliver them with energy for growth and nitrogen excretion Muhamad et al. (2021). Another suggestion in animal replicas of experimental chronic renal failure showed that ingesting of feedstuff containing fermentable carbohydrates consequences in a greater rate of urea nitrogen transfer from blood to the cercal lumen, where it hydrolyzed by bacterial urease before following microflora metabolism and propagation Therefore, this results in a greater faecal nitrogen excretion, joined with a reduction in urinary nitrogen excretion and plasma urea concentration Snelson et al. (2019). However, Mohammed et al. (2018), assumed that the nephroprotective value of Gum Arabic seen in rats treated with gentamicin was due to reduced lipid oxidation and antioxidant effect. The reduction in the markers shows that the extracts having the potential to improve the impairment which produced by gentamicin administration Kuatsienu et al. (2017).

The histopathological finding for the effect of Gum Arabic rehabilitation of kidney tissue was week. This may be attributed to the short length of the trial.

Ali et al. (2013); examined an animal model of chronic renal failure (feeding adenine for four weeks to assess the consequence of Gum Arabic on chronic renal failure and they found that Gum Arabic 6% and 12% (W/V) in drinking water for four uninterrupted weeks, expressively ameliorate the contrary biochemical alterations symptomatic of renal failure and reduced glomerular and interstitial lesions induced by adenine. The mechanism(s) of this nephroprotection was undefined but might include anti-oxidant and /or anti-inflammatory actions. El Tahir et al. (2016); found that Gum Arabic diminished the impairment caused by gentamicin; as coagulative necrosis, hemorrhage and reduced cellularity.

 

REFERENCES

Abdel-Zaher, A.O.; Abdel-Hady, R.A.; Mahmoud, M.M. and Farrag, M.M.Y. (2008). Toxicol., 243(3): 261-270. Retrieved from https://doi.org/10.1016/j.tox.2007.10.010

Ali, B.H.; Al Hussein, I.; Kayed, R.R.; Al Mansoori, N.; Al Harthi, T.; Al Zaabi, M. and Nenmar, A. (2010);. Exp. Biol.Med. (Maywood); 235(3):373-382. Retrieved from https://doi.org/10.1258/ebm.2009.009214

Ali, B.H.; Al-Husseni, I.; Beegam, S.; Al-Shukaili, A.; Nemmar, A.; Schierling, S.; Queisser, N. and Schupp, N. (2013). PloS one, 8(2): e55242. Retrieved from https://doi.org/10.1371/journal.pone.0055242

Atef M. Al-AttarAli A. AlrobaiDaklallah A. Almalki. (2015). Protective Effect of Olive and Juniper leaves Extracts on Nephrotoxicity Induced by Thioacetamide in male mice, Saudi Journal of Biological Science, 24:15-22. Retrieved from https://doi.org/10.1016/j.sjbs.2015.08.013

Balali-Mood M, Naseri K, Tahergorabi Z, Khazdair MR and Sadeghi M. (2021) Toxic Mechanisms of Five Heavy Metals: Mercury, Lead, Chromium, Cadmium, and Arsenic. Front. Pharmacol. 12:643972. doi: 10.3389/fphar.2021.643972. Retrieved from https://doi.org/10.3389/fphar.2021.643972

El Tahir, E.; Shaddad, S.A.I.; Muddathir, A. and Agabna, N.M.E. (2016). World J. Pharm. Res., 5(5):294-303.

Glenn Chertow, Valerie Luyckx, Philip Marsden, Karl Skorecki, Maarten Taal, Alan Yu. (2019). Brenner and Rector's The Kidney, 2-Volume Set 11th Edition - September 25, 2019. Elsevier publications. eBook ISBN: 9780323550857. Hardcover ISBN: 9780323532655.

Lydia Enyonam Kuatsienu, Charles Ansah, Michael Buenor Adinortey. (2017). Tocicological evaluation and protective effect of ethanolic leaf extract of Launaea taraxacifolia on gentamicin induced rat kidney injury. Asian journal of tropical biomedicine, 7(7):640-646. Retrieved from https://doi.org/10.1016/j.apjtb.2017.06.011

Mahmoud, M.F.; Diaai, A.A. and Ahmed, F. (2012). Evaluation of the Efficacy of Ginger, Arabic Gum and Boswellia in Acute and Chronic Renal Failure. Ren. Fail., 34(1): 73-82. Retrieved from https://doi.org/10.3109/0886022X.2011.623563

Matthew Snelson, Nicole. J. kellow and Melida. T. Coughlan. (2019). Modulation of Gut Micobiota by Resistant Starch as a Treatment of Chronic Kidney Diseases: evidence of Efficacy and Mechanistic Insights. Adv. Nut. 10(2):303-320. Retrieved from https://doi.org/10.1093/advances/nmy068

Mir Ajaz Akram, Manju Tembhre, Ruqaya Jabeen, Shah Khalid, Muzafar Ahmad Sheikh, Aasia Jan, Umer Farooq and Mohmad Amin. (2019). Defensive Role of Rosmarinus officinalis in Carbon Tetrachloride-Induced Nephrotoxicity and Oxidative Stress in rats. Bulletin of the National Research Centre, 43:50  Retrieved from https://doi.org/10.1186/s42269-019-0092-z.

Muhamad Hanif Rawi, Aminah Abdullah, Amin Ismail, and Shahrul Razid Sarbini. (2021). Manipulation of Gut Microbiota Using Acacia Gum Polysaccharide. ACS Omega, 6(28):17782-17797. Retrieved from https://doi.org/10.1021/acsomega.1c00302

Mohammed B, Mohammed EAM, Mohammed A et al. (2018) Protective Effect of Long-Term Administration of Gum Arabic on Oxidative Stress in Hepatic Tissue of Diabetic Rats. Biomed J Sci &Tech Res 4(5). BJSTR. MS.ID.001110. DOI: 10.26717/ BJSTR.2018.04.001110. Retrieved from https://doi.org/10.26717/BJSTR.2018.04.0001110

Pavle Randjelovic, Slavimir Veljkovic, Nenad Stojilj.kovic , Duaan Sokolovic and Ivan Ilic. (2017). Gentamycin Nephrotoxicity in Animals: Current Knowledge and Future Perspectives. EXCLI Journal, (16):388-399.  Retrieved from http://dx.doi.org/10.17179/excli2017-165.

Stephen James McWilliam. (2015). Novel approaches to aminoglycoside-induced nephrotoxicity in children. Ph.D. Thesis. Liverpool University.  Retrieved fromhttps://livrepository.liverpool.ac.uk/2049479/1/McWilliamSte_Aug2015_2049479.pdf

Sukhdev.s.h; suman.p.s.k; gennaro. l and dev. D. (2008). Extraction technologies for medicinal and aromatic plants. United nation industrial development organization and international center for science and high technology- 116.

Valevan Sivanandham, (2015). Formulation and evaluation of Abutilon indicum and Boerhaavia diffusa for the determination of nephroprotective activities, journal of transactions in Environment and Technovation.9(2):1-7. Retrieved from https://doi.org/10.20894/STET.116.009.002.008

Younes, H.; Alphonse, J.C.; Behr, S.R.; Demigné, C. and Rémésy, C. (1999) Am. J. Kidney Dis; 33(4):633-646. Retrieved from https://doi.org/10.1016/S0272-6386(99)70213-1     

 

 

Creative Commons Licence This work is licensed under a: Creative Commons Attribution 4.0 International License

© Granthaalayah 2014-2022. All Rights Reserved.